폐에 물이 차는 증상은 생각보다 많은 사람들이 겪을 수 있는 심각한 건강 문제입니다. 갑자기 숨이 가쁘고 가슴이 뻐근해지는 경험, 혹시 있으신가요? 단순한 피로나 감기라고 생각하고 넘기기엔 치명적인 병의 신호일 수 있습니다. 저 역시 처음엔 숨이 찬 증상이 단순한 컨디션 문제라고 생각했다가 큰 병원에서 "폐에 물이 차 있다"는 진단을 받고 깜짝 놀랐던 기억이 있습니다.
이 글에서는 그런 제 경험을 바탕으로, 폐에 물이 찰 때 나타나는 증상들을 체계적으로 정리하고, 놓치기 쉬운 사소한 신호까지도 세심하게 짚어드립니다. 만약 최근 들어 자주 숨이 차거나, 기침이 심해졌다면 이 글을 꼭 끝까지 읽어보세요.

| 👇 오늘 ‘폐에 물이 찼을 때 증상’ 정보 아래 내용에서 확실하고 정확하게 알아가세요! 👇 | 
폐에 물이 찼을 때 증상 1: 숨이 가빠지고 호흡이 어려워짐
처음에는 단순한 피로인 줄 알았습니다. 하루 종일 바쁘게 움직였기 때문에 저녁쯤 되면 숨이 좀 차는 것도 당연하다고 여겼죠. 하지만 시간이 지나도 쉬어도 나아지지 않는 호흡 곤란 증상이 점점 심해졌고, 결국 병원을 찾게 되었습니다.
폐에 물이 차면 폐가 팽창하지 못하고 눌리기 때문에 숨을 들이쉬는 것 자체가 힘들어집니다. 이 때문에 사람들은 마치 계단을 몇 층이나 오른 듯한, 갑작스럽고 지속적인 숨참 증상을 경험하게 됩니다. 특히 밤에 누웠을 때 증상이 더 심해지는 경향이 있는데, 이는 수평 자세에서 폐에 물이 더 퍼지기 때문입니다.
또한 얕은 호흡을 하게 되며, 숨을 쉬기 위해 어깨나 목 근육까지 사용하게 되는 보조 호흡이 나타날 수 있습니다. 이러한 증상이 몇 시간 이상 지속된다면 단순한 감기나 스트레스로 넘기지 마시고 반드시 검사를 받아보셔야 합니다.
폐에 물이 찼을 때 증상 2: 가슴 통증과 답답함
가슴이 뻐근하고 누르는 듯한 느낌, 혹은 갑작스러운 찌르는 듯한 통증을 느끼신 적 있나요? 폐에 물이 차면 흉막(폐를 감싸는 막)에 자극이 가해져 통증이 발생하게 됩니다.
이 통증은 대부분 한쪽 가슴 또는 양쪽 모두에서 느껴지며, 특히 숨을 깊게 들이쉴 때나 기침할 때 심해지는 특징이 있습니다. 저는 숨만 들이쉬어도 찌릿한 느낌이 들어 깊은 숨을 쉴 수가 없었고, 그 답답함이 굉장히 고통스러웠습니다.
이 증상은 폐렴이나 늑막염 등 다른 폐질환과도 유사하므로 정확한 진단을 받는 것이 중요합니다. 실제로 많은 분들이 심장 문제로 착각하고 심장내과를 먼저 찾기도 합니다. 하지만 검사 후 폐에 물이 차 있다는 결과를 듣고 놀라는 경우가 많습니다.
가슴 통증이 반복적으로 나타나거나, 숨을 쉴 때마다 찌릿한 고통이 동반된다면 절대 무시해서는 안 됩니다. 조기에 진단하면 비교적 쉽게 치료가 가능하므로, 증상이 있을 땐 망설이지 말고 병원을 방문해 주세요.
폐에 물이 찼을 때 증상 3: 지속적인 마른기침
기침이 계속되는데 가래는 나오지 않고, 목이 아프지도 않은데 마른기침이 멈추지 않는다면 폐를 의심해봐야 합니다. 특히 밤에 누우면 기침이 심해지거나, 아침에 일어나면서부터 기침을 계속하게 된다면 더욱 의심이 필요합니다.
제가 그랬습니다. 마른기침이 멈추지 않고, 병원에서는 감기라고만 했지만 약을 먹어도 나아지지 않았죠. 결국 CT 촬영을 해본 후에야 폐에 물이 차 있다는 걸 알게 되었습니다. 폐에 물이 차면 폐의 조직이 자극되어 자연스럽게 기침이 유발되며, 이때 나오는 기침은 가래 없이 건조하고 계속되는 특징이 있습니다.
이런 기침은 2주 이상 지속되며, 감기약이나 알레르기약을 먹어도 쉽게 낫지 않습니다. 주변 공기가 건조하지 않은데도 기침이 계속될 경우 폐에 이상이 생긴 건 아닌지 꼭 확인해보시길 권해드립니다. 특히 흡연자나 천식 이력이 있는 분들은 더욱 주의가 필요합니다.
- 폐에 물이 찼을 때 나타나는 주요 증상은 호흡곤란, 가슴통증, 마른기침입니다.
 - 이러한 증상은 감기나 천식 등과 혼동될 수 있으니 반드시 병원에서 정확한 진단이 필요합니다.
 - 초기 대응만 잘해도 빠른 회복이 가능하므로 증상을 놓치지 마세요.
 
| 👇 '폐에 물이 찼을 때 증상' 아래 내용에서 확실하게 바로 보기 👇 | 
폐에 물이 찼을 때 원인
사람의 폐에 물이 차는 원인은 매우 다양합니다. 가장 대표적인 원인은 심부전입니다. 심장이 약해지면 혈액을 제대로 순환시키지 못해 폐에 수분이 고이게 되죠. 특히 고혈압이나 심장질환 이력이 있는 분들에게서 자주 발견됩니다.
두 번째로 흔한 원인은 폐렴, 결핵 같은 감염성 질환입니다. 감염으로 인해 폐조직이 손상되면 면역 반응으로 물이 고일 수 있습니다. 이런 경우 고열과 함께 가슴통증, 기침, 가래 등이 동반될 수 있습니다.
세 번째는 암입니다. 특히 폐암이나 전이성 암이 있는 경우 폐막에 삼출액이 발생하여 물이 차게 됩니다. 이때는 호흡곤란 증상이 빠르게 나타나며, 체중감소와 전신 피로감도 함께 동반됩니다.
그 외에도 간경화나 신장질환처럼 체내 수분조절 기능에 문제가 생겼을 때도 폐에 물이 차는 비심장성 흉수가 발생할 수 있습니다. 이런 경우엔 폐 이외의 전신질환을 먼저 진단하는 것이 우선입니다.
| 항목 | 설명 | 비고 | 
|---|---|---|
| 심부전 | 혈액 순환 문제로 인한 폐에 수분 고임 | 가장 흔한 원인 | 
| 감염성 질환 | 폐렴, 결핵 등 감염으로 인한 염증 | 동반 증상 다양 | 
| 폐암 | 폐 또는 흉막에 생긴 종양으로 인한 삼출 | 초기 발견 어려움 | 
폐에 물 찼을 때의 진단 및 검사
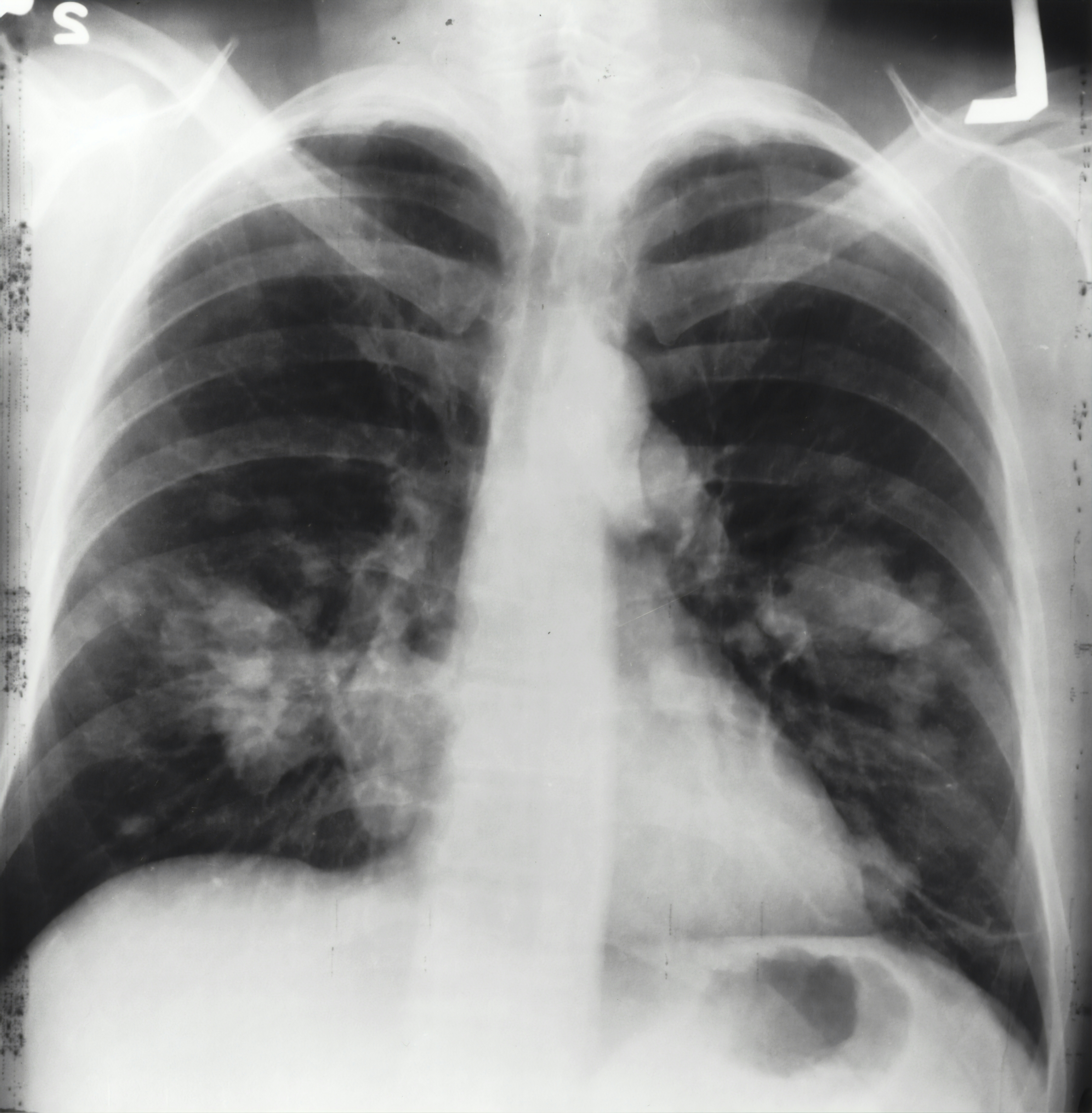
폐에 물이 찼는지 확인하려면 영상검사와 물리적인 청진이 가장 중요합니다. 제가 처음 병원에 갔을 때도 의사 선생님께서 청진기로 폐음을 듣고, 바로 흉부 X-ray를 찍었습니다. 그 결과 한쪽 폐에 꽤 많은 양의 물이 고여 있었죠.
X-ray는 기본이며, 정밀 진단을 위해 CT(컴퓨터 단층촬영)나 초음파 검사를 함께 시행하는 경우가 많습니다. 특히 초음파는 물의 위치와 양, 움직임 등을 실시간으로 확인할 수 있어 진단에 매우 유용합니다.
필요 시에는 흉수 천자라는 절차를 통해 폐에서 직접 물을 빼내어 그 성분을 검사하기도 합니다. 이 검사를 통해 감염성인지, 악성종양성인지, 기타 질환으로 인한 것인지 알 수 있습니다.
정확한 진단 없이는 치료가 어렵기 때문에, 위에서 언급한 증상이 하나라도 있다면 반드시 병원을 방문하여 검사를 받아야 합니다.
폐에 물 찼을 때의 치료법
치료는 원인에 따라 다르게 진행됩니다. 가장 먼저 해야 할 일은 폐에 고인 물을 제거하는 것입니다. 이를 위해 흉수 천자를 통해 바늘로 물을 빼내는 시술을 진행하게 됩니다. 그 즉시 호흡이 한결 편해졌던 기억이 납니다.
하지만 물을 빼낸다고 끝나는 것이 아닙니다. 물이 찬 근본적인 원인을 찾아 치료하지 않으면 다시 물이 찰 수 있기 때문입니다.
심부전이 원인이라면 이뇨제를 투여하여 체내의 수분량을 조절하고, 심장 기능 개선을 위한 약물요법이 병행됩니다. 감염이라면 항생제를, 암이라면 항암 치료와 방사선 치료를 함께 고려해야 합니다.
또한, 폐 기능을 보조하기 위한 산소치료나 물리치료가 필요한 경우도 많습니다. 어떤 치료법을 선택하든 중요한 것은 조기 발견과 꾸준한 치료입니다.















| 👇 함께보면 좋은 글 바로가기! 👇 | 
폐에 물 찼을 때의 치료법 이해하기
“숨 쉬는 게 너무 힘들어요.”라는 말을 한 지인이 있었습니다. 단순한 감기겠거니 했지만, 병원에서 들은 진단은 놀랍게도 폐에 물이 찼다는 것이었습니다. 흔히 ‘흉수(胸水)’라 불리는 이
superhealthk.com
폐에 물이 찼을 때의 증상 마치며
폐에 물이 찼다는 말은 단순히 폐에 물이 ‘조금 찬 상태’가 아니라, 몸 전체에 이상 신호가 왔다는 경고입니다. 저는 단순히 감기인 줄 알고 지나쳤다가 병을 더 키울 뻔했습니다. 이 글을 읽으시는 분들만큼은 꼭 미리미리 증상을 알아채시고 빠르게 대처하시길 바랍니다.
초기 증상은 생각보다 모호하고 일상적인 감기 증상과 비슷하지만, 그 안에 숨어있는 질환은 결코 가볍지 않습니다.
숨이 차고, 가슴이 아프고, 기침이 오래 간다면 절대 방치하지 마세요. 조기에 진단하고 치료만 잘하면, 큰 병이 되는 걸 막을 수 있습니다. 이 글이 누군가에게 건강을 지키는 계기가 되었으면 합니다.
질문 QnA
폐에 물이 차면 무조건 병원에 가야 하나요?
네, 반드시 가셔야 합니다. 폐에 물이 찼다는 것은 단순히 염증만이 아닌, 전신 질환의 신호일 수 있기 때문입니다.
물이 차 있는 상태에서 운동해도 되나요?
증상이 있는 동안은 절대 무리한 활동을 피하셔야 합니다. 호흡곤란이 심해질 수 있어 안정이 가장 중요합니다.
폐에 물이 다시 차는 경우도 있나요?
네. 원인을 정확히 치료하지 않으면 재발 가능성이 높습니다. 특히 심장질환이나 암과 연관된 경우 더욱 주의가 필요합니다.